background image

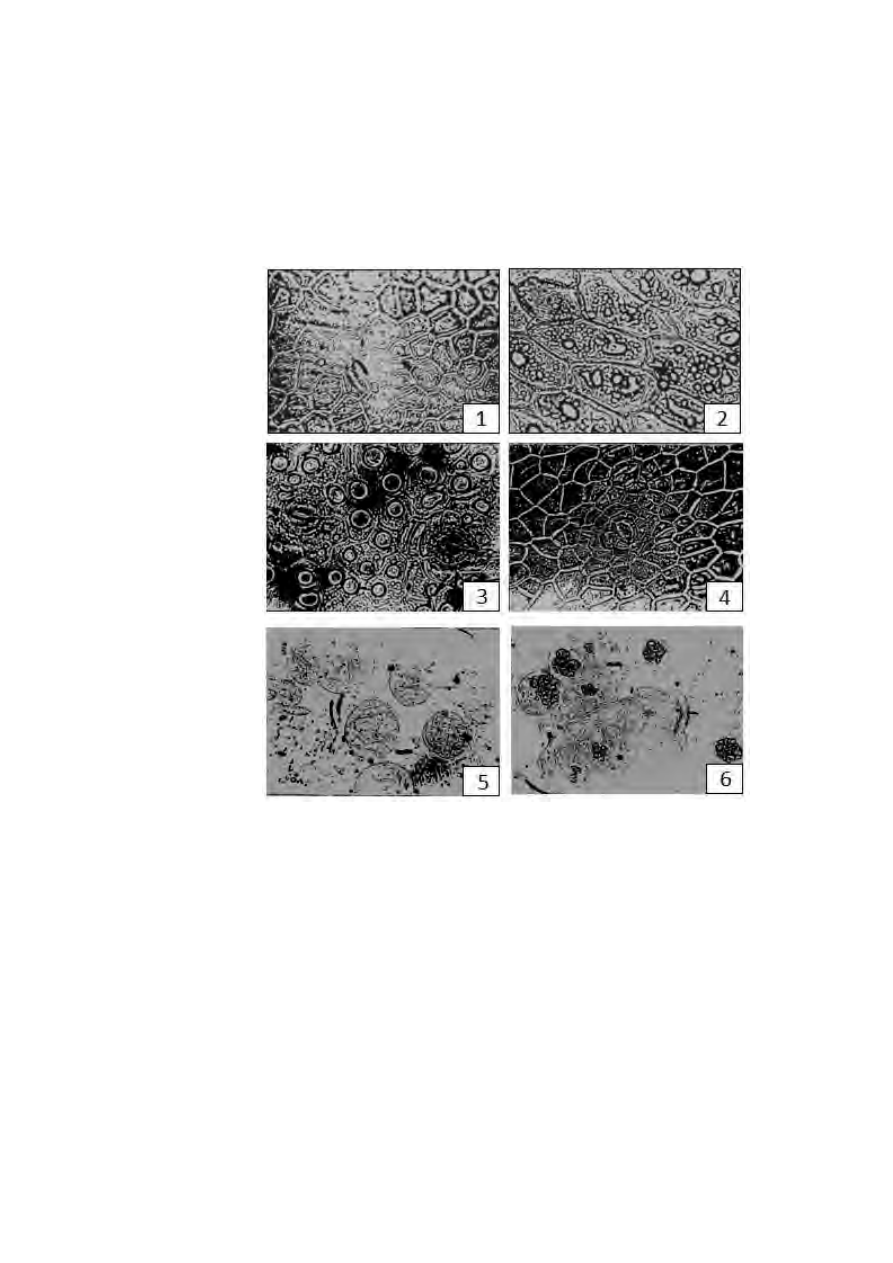
никами. Должны встречаться

 

проводящие пучки и друзы оксалата кальция. В 

нижней части плода,  у  места  прикрепления  к  плодоножке,  вокруг  проводя-
щих  пучков  должны  быть  видны  многочисленные  округлые  каменистые 
клетки. 

 

 

 

 

Рисунок 

– 

Калины плоды

:  

1 – 

клетки эпидермиса с неравномерной утолщенностью стенок 

(200×); 

2 – 

клетки эпидермиса с четковидным утолщением и обильным оранжево

-

красным содержимым 

(400×); 3 – 

устьица аномоцитного типа

 (200×); 4 – 

эпидермис с устьицем

 

и неравномерно утолщенными стенками 

(200×); 5 – 

крупные клетки мякоти мезокарпа

 (400×); 6 – 

друзы оксалата кальция

 (400×).  

 

 

Определение основных групп биологически активных веществ

 

УФ-спектрофотометрия

. 1 мл профильтрованного сока помещают в 

мерную колбу вместимостью 200 мл, доводят объем раствора 0,1 М раство-
ром хлористоводородной кислоты до метки и перемешивают. Регистрируют 

Предыдущая <  | 6125  | > Следующая  | Главная  | pharma-14@mail.ru |  pharmacopeia.ru | Скачать в PDF