background image

 

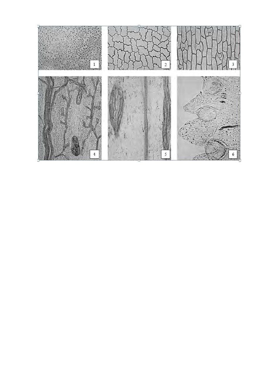
Рисунок 

Зверобоя трава

1 – 

фрагмент эпидермиса листа (нижняя сторона): четковидные утолщения 

стенок клеток и

 

устьица анизоцитного типа 

(200×), 2 – 

фрагмент эпидермиса 

листа (верхняя сторона) счетковидным утолщением стенок клеток

 (200×),  

3 – 

фрагмент эпидермиса стебля: четковидные утолщения стенок клеток 

и

 

устьицаанизоцитного типа (

200×), 4 – 

фрагмент мезофилла чашелистика: 

вытянутые вместилищас маслянистым содержимым (

200×), 5 – 

фрагмент 

эпидермиса створок плодов с продольно

-

вытянутыми клетками над 

вместилищем с бесцветным содержимым (

200×), 6 – 

фрагмент верхушки 

лепестка: бесцветное вместилище между зубчиками, округлые хромопласты 

(200×). 

 

Определение основных групп биологически активных веществ

 

1.

 

Тонкослойная хроматография 

Приготовление растворов. 

Раствор стандартного образца (СО) рутина. 

Около 0,005

 

г СО рутина 

(рутина тригидрата) растворяют в 10

 

мл спирта

 96 

% и перемешивают. Срок 

годности растворане

 

более 3 мес

 

при хранении в прохладном, защищенном 

от света месте.

 

 

Около  1,0

 

г  измельченного  сырья  до  размера  частиц,  проходящих 

Предыдущая <  | 6078  | > Следующая  | Главная  | pharma-14@mail.ru |  pharmacopeia.ru | Скачать в PDF