background image

 

 

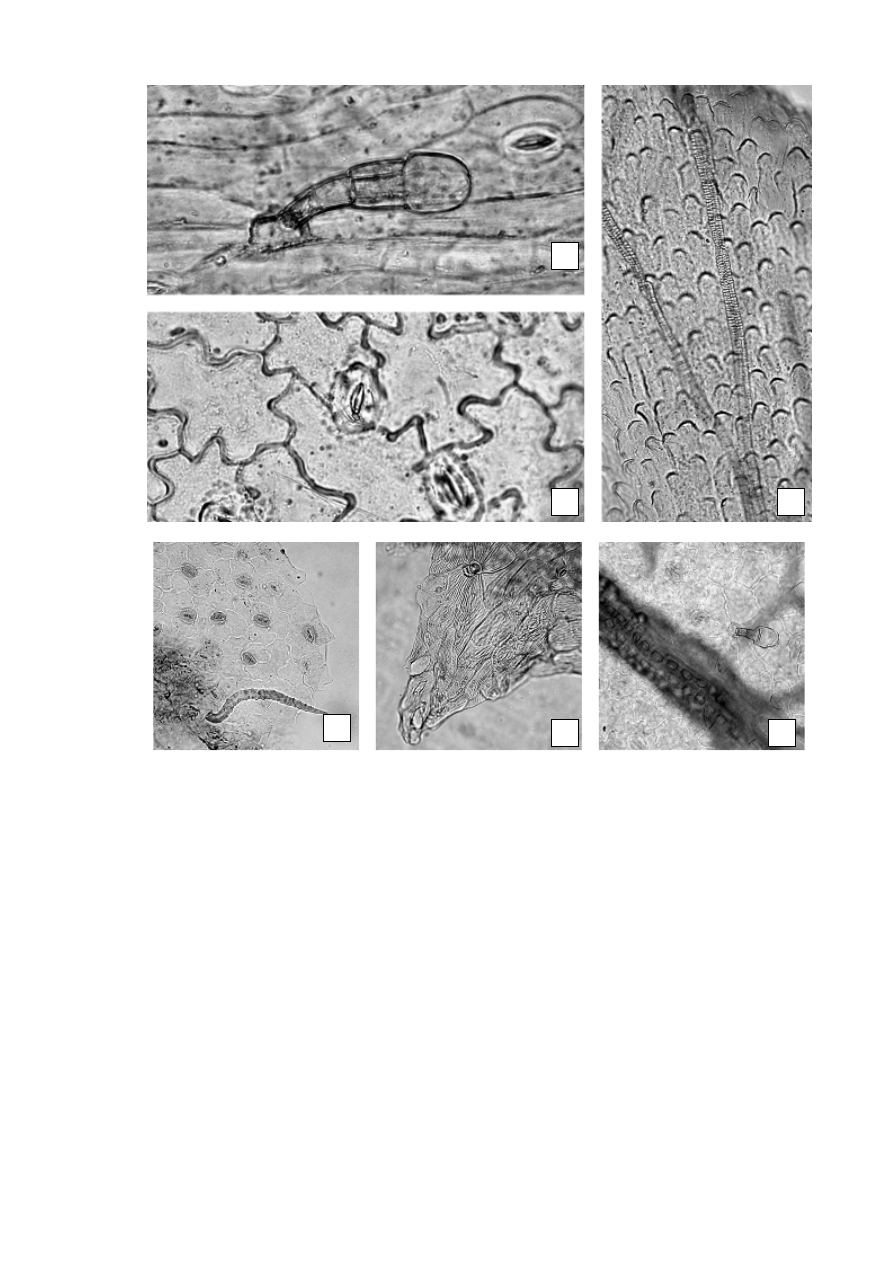
Рисунок 

Донника трава

.

 

1 – 

фрагмент эпидермиса стебля с головчатым волоском (

400×);2– 

клетки 

нижнего эпидермиса листа с извилистыми стенками

устьица

 

аномоцитного 

типа (

400×);3– 

фрагмент лепестка (наружная сторона): клетки эпидермиса с 

сосочковидными выростами (

400×);4–

простой одноклеточный бородавчатый 

волосок

 (200×);5– 

фрагмент листа: клетки эпидермиса со складчатой 

кутикулой

 

на зубчатом крае листа (

200×);6–

головчатый волосок, радиально 

расположенные клетки эпидермиса в месте прикрепления волоска

кристаллоносная обкладка вдоль жилки (

200×). 

 

Определение основных биологически активных веществ

 

1.

 

Тонкослойная хроматография 

Около

1,8 

г  измельченного  сырья  до  величины

 

частиц,  проходящих 

сквозь  сито  с  отверстиями  размером  0,5  мм,помещают  в  колбу  со  шлифом 

Предыдущая <  | 6023  | > Следующая  | Главная  | pharma-14@mail.ru |  pharmacopeia.ru | Скачать в PDF