background image

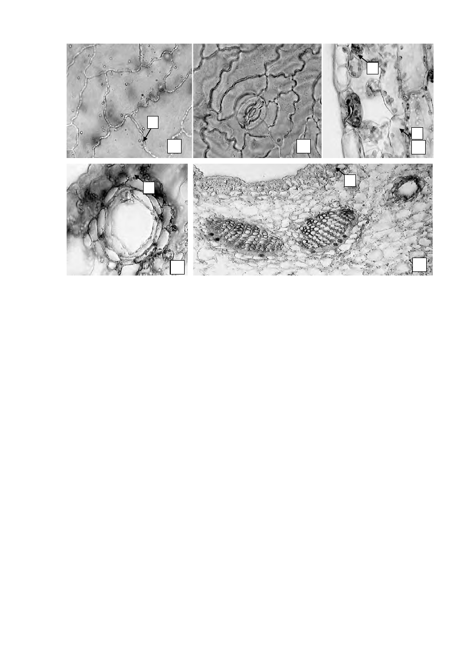
Рисунок

 – 

Гинкго двулопастного листья

1 – 

фрагмент верхнего эпидермиса 

(400×); 2 – 

фрагмент нижнего эпидермиса 

с устьицами

 

аномоцитного типа (

400×); 3 – 

фрагмент продольного среза 

листовой пластины с устьичным комплексом (а) (

400×); 4 – 

фрагмент 

поперечного среза листовой пластины: выстилающие клетки 

(a), 

полость 

вместилища

 (

б

) (400×); 5 – 

фрагмент радиального среза черешка листа: 

смоляной ход

 

(а), проводящий пучок (б

) (100×). 

Определение основных групп биологически активных веществ

 

Тонкослойная хроматография 

На  линию  старта  аналитической  хроматографической  пластинкисо 

слоем  силикагеля  с  флуоресцентным  индикатором  наносят  10  мкл 
испытуемого  раствора

 

(см.  раздел  «Количественное  определение»

 

приготовление  раствора  А  испытуемого  раствора)и  10  мкл  раствора 
стандартного образца (СО

рутина(см. раздел «Количественное определение»

 

приготовление  раствора

 

А  СОрутина

).

Пластинку  с  нанесенными  пробами 

сушат  на  воздухе,  помещают  в  камеру,  предварительно  насыщенную  в 
течение

 

не  менее  24  чсмесью  растворителей  хлороформ

метанол

вода 

4

1

2

5

б

а

а

б

а

3

Предыдущая <  | 5974  | > Следующая  | Главная  | pharma-14@mail.ru |  pharmacopeia.ru | Скачать в PDF