background image

 

 

 

 

 

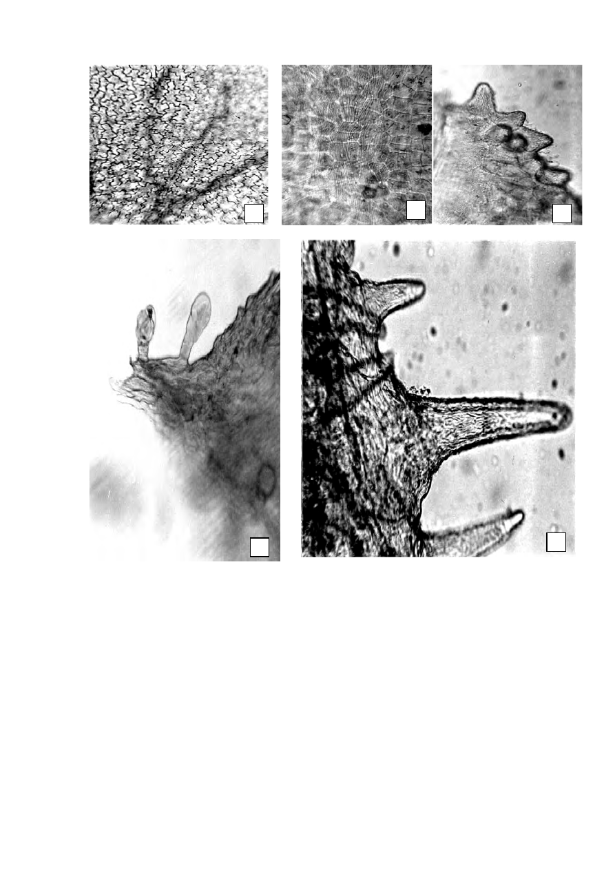
Рисунок

– 

Бузины черной цветки

1 – 

фрагмент нижнего эпидермиса лепестка со складчатой кутикулой (

125×); 

2 – 

фрагмент верхнего эпидермиса лепестка со складчатой кутикулой (

250×); 

3 – 

фрагмент чашелистика с сосочковидными выростами (

250×); 

4 – 

фрагмент чашелистика с

 

головчатыми волосками (

125×);5 – 

фрагмент 

эпидермиса цветоножки с простыми волосками (

250×). 

 

Определение основных групп биологически активных веществ

 

1.

 

Тонкослойная хроматография 

На  линию  старта  аналитической  хроматографической  пластинки

 

со

 

слоем  силикагеля  наносят  50  мкл  испытуемого  раствора  (см.  раздел 
«Количественное  определение»приготовление  раствора

 

А  испытуемого 

Предыдущая <  | 5945  | > Следующая  | Главная  | pharma-14@mail.ru |  pharmacopeia.ru | Скачать в PDF