background image

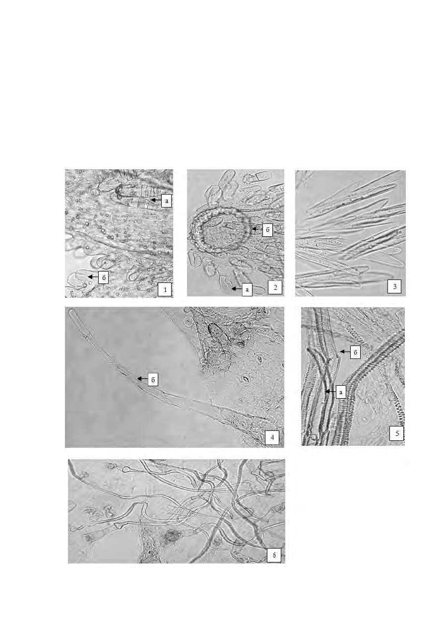
расширенным  основанием,  железки  характерного  строения,  более 
многочисленные с нижней стороны листа; фрагменты цветоносов и стеблей, 
эпидермис  которых  состоит  из  продольно

-

вытянутых  клеток  и  сплошь 

покрыт волосками характерного строения, встречаются железки и устьица; в 
сердцевине 

стебля, 

среди 

удлиненно

-

прямоугольных 

клеток 

паренхимы,расположены  сосудистые  пучки,  представленные  сетчато

-

лестничными, лестничными и спиральными сосудами.

 

 

 

Предыдущая <  | 5907  | > Следующая  | Главная  | pharma-14@mail.ru |  pharmacopeia.ru | Скачать в PDF