background image

 

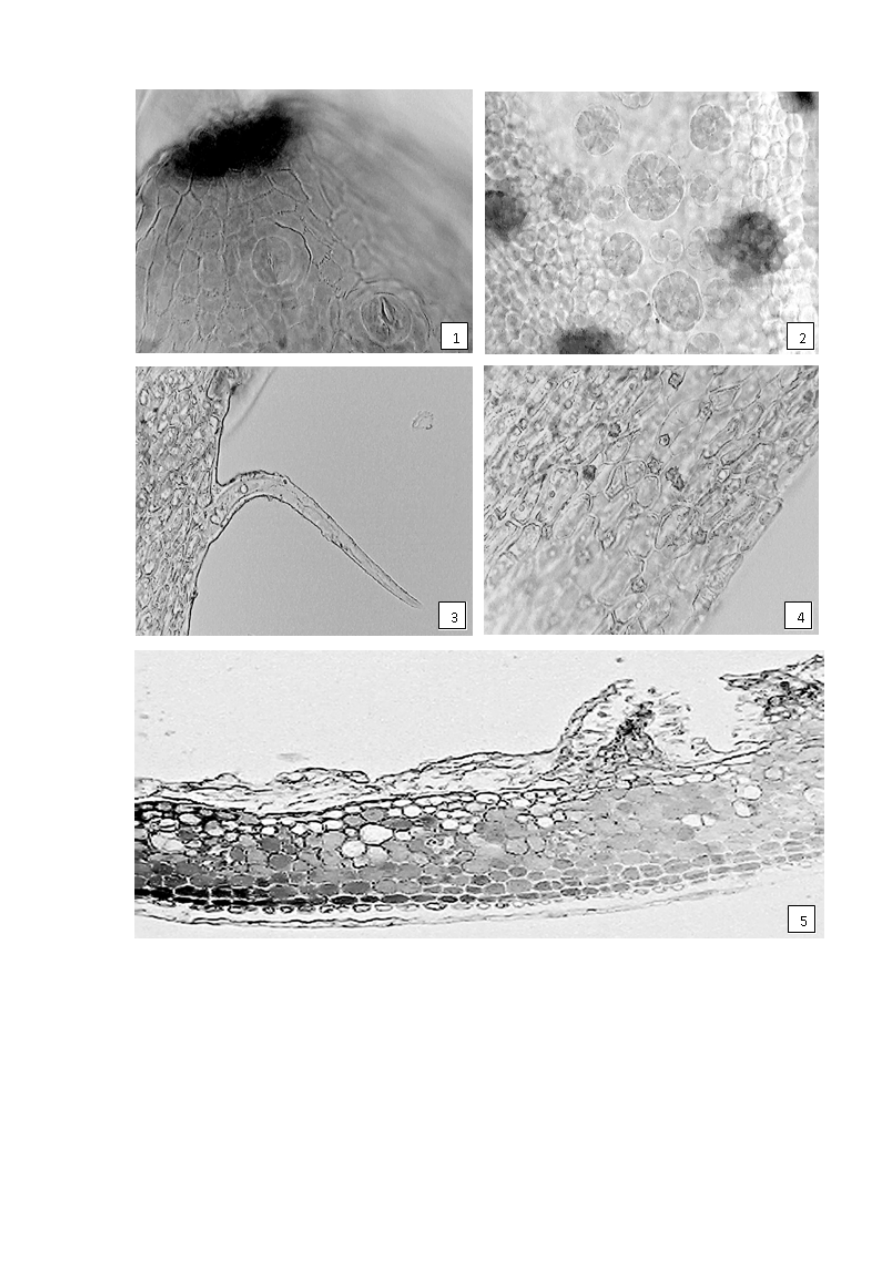
Рисунок

 – 

Березы почки

1 – 

фрагмент эпидермиса кроющей чешуи с устьицами (

400×); 2 – 

фрагмент 

эпидермиса с железками 

(400×); 3 – 

простой бичевидный волосок

; 4 – 

друзы 

оксалата кальция

; 5 – 

фрагмент поперечного среза кроющей чешуи с конусо-

видной железкой 

(400×). 

 

Определение основных групп биологически активных веществ

 

Тонкослойная хроматография 

Предыдущая <  | 5898  | > Следующая  | Главная  | pharma-14@mail.ru |  pharmacopeia.ru | Скачать в PDF