background image

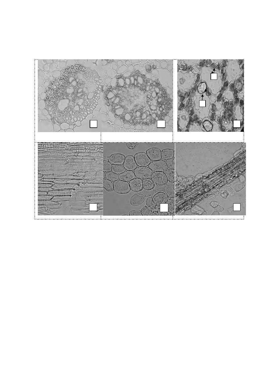
кон  с  кристаллоносной  обкладкой,  фрагменты  сосудисто

-

волокнистых  пуч-

ков, состоящих из спиральных и лестничных сосудов и волокон.

 

 

 

 

 

 

 

 

 

Рис. Аира обыкновенного

 

корневища

 

1 – 

коллатеральный  проводящий  пучок  со  склеренхимной  об-

кладкой

 (200×), 2 – 

центрофлоэмный проводящий пучок 

(200×), 3 

– 

фрагмент аэренхимы  с крупными  клетками идиобластами,  со-

держащие эфирное масло 

(a

), и паренхимными клетками с крах-

мальными зернами 

(b) (200×), 4 – 

клетки эпидермиса с четковид-

ным утолщением стенок (

«

давленый препарат

») (200×), 5 – 

груп-

па  паренхимных  клеток  с  четковидным  утолщением  стенок 

(200×), 6 – 

волокна  с  кристаллоносной  обкладкой  (

«

давленый 

препарат

») (200×). 

 

Определение основных групп биологически активных веществ

 

Тонкослойная хроматография  

Приготовление растворов. 


 
 

 5 

 4 

 

б

 

Предыдущая <  | 5836  | > Следующая  | Главная  | pharma-14@mail.ru |  pharmacopeia.ru | Скачать в PDF