background image

 

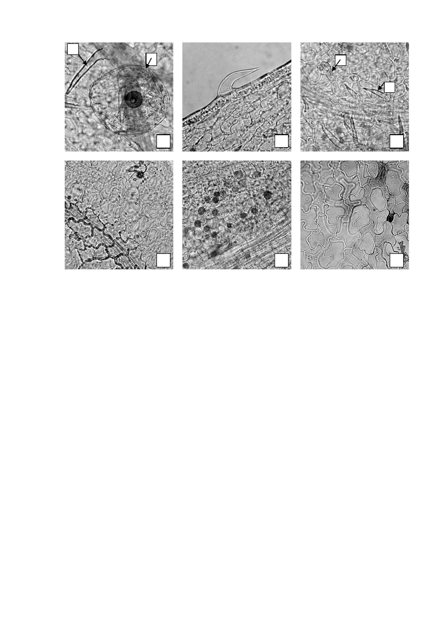
Рисунок 

– 

Хмеля обыкновенного соплодия

1 – 

простой одноклеточный волосок (

a

) и железка (б) на нижнем эпидермисе 

(200×); 2 – 

простой одноклеточный волосок с расширенным основанием 

(200×); 3 – 

головчатый волосок (

a

) и одноклеточные тонкостенные волоски с 

заостренным концом (б

) (200×); 4 –  

клетки верхнего эпидермиса с 

утолщенными извилистыми стенками вдоль жилки 

(200×); 5 – 

друзы 

оксалата кальция (

200×); 6 – 

губчатая паренхима с крупными межклетниками 

(аэренхима) (

200×). 

 

Определение основных групп биологически активных веществ

 

1.

 

Тонкослойная хроматография 

Приготовление растворов. 

Раствор стандартного образца (СО) рутина.

Около 

0,005 

г СО рутина 

растворяют в 10

 

мл спирта 96 %

 

и перемешивают. Срок годности растворане 

более 3 мес

 

при хранении в плотно укупоренной упаковке в

 

защищенном от 

света месте.

 

Раствор  СО  гиперозида

Около  0,001  г  СО  гиперозида  растворяют  в 

мл  спирта

 96 % 

и  перемешивают.  Срок  годности  растворане  более  3  мес

 

при хранении в плотно укупоренной упаковке в прохладном, защищенном от 

света месте.

 

 

На  линию  старта  аналитической  хроматографической  пластинки  со 

б

 

б

 

Предыдущая <  | 6551  | > Следующая  | Главная  | pharma-14@mail.ru |  pharmacopeia.ru | Скачать в PDF