background image

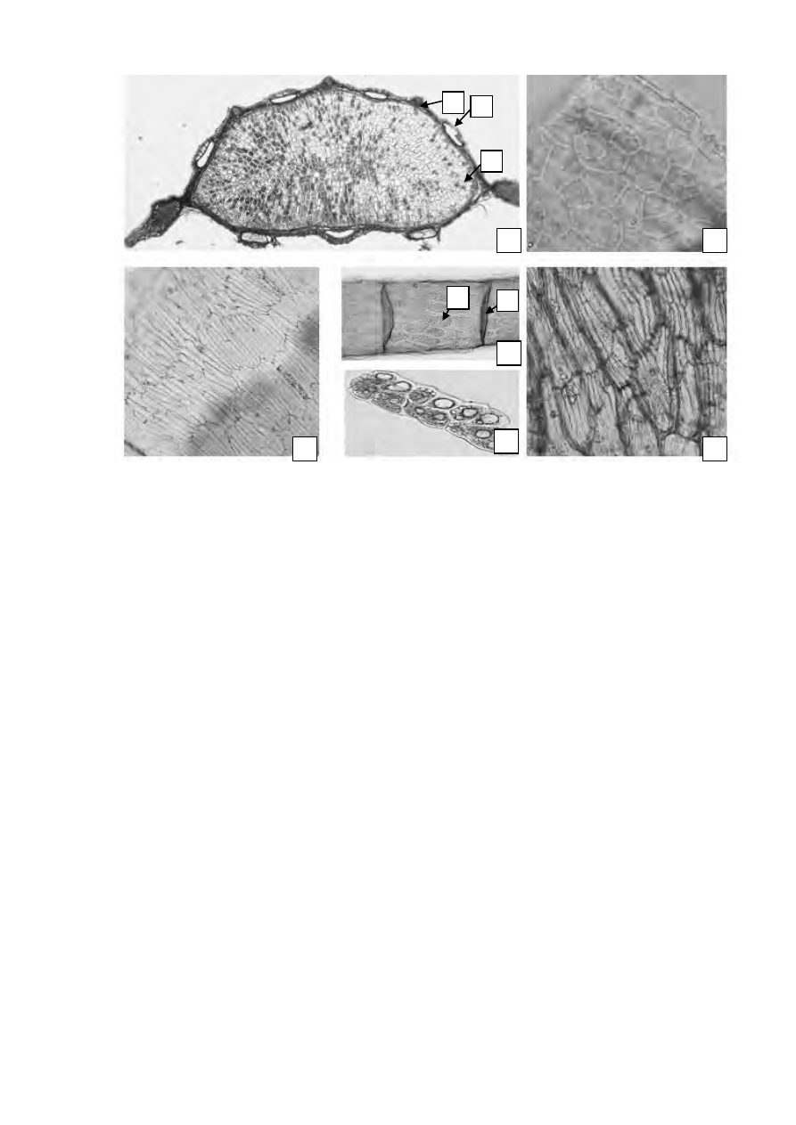
Рисунок 

– 

Укропа пахучего плоды

1 – 

поперечный срез полуплодика: 

a – 

эфирномасличные канальцы, 

 

б

 – 

проводящие пучки в ребрышках, в

 – 

эндосперм семени

 (40×);  

2 – 

клетки эпидермиса (экзокарпия) (

200×); 3 – 

паренхима мезокарпия (

200×); 

4 – 

фрагмент септированного (с поперечными перегородками) 

эфирномасличного канальца: 

a – 

коричневые выделительные клетки, 

 

б

 – 

поперечные перегородки

 (200×); 5 – 

эндокарпий

 (200×);  

6 – 

клетки эндосперма с мелкими друзами оксалата кальция и каплями 

жирного масла (

200×) 

Определение основных групп биологически активных веществ

 

Тонкослойная хроматография 

Приготовление растворов. 

 Раствор  стандартного  образца  (СО)  судана III

.  Около  0,005

 

г  СО 

судана

 

III растворяют в 10

 

мл спирта 96

 % 

и перемешивают. Срок годности 

раствора не более 3 мес

 

при хранении в прохладном, защищенном от света 

месте.

 

 Раствор  СО  ментола

.  Около  0,01

 

г  СО  ментола  (левоментола) 

растворяют в 10

 

мл спирта 96

 % 

и перемешивают. Срок годности раствора не 

более 3 мес

 

при хранении в прохладном, защищенном от света месте.

 

Около  1,0

 

г  сырья,  измельченного  до  отсутствия  цельных  плодов, 

помещают  в  коническую  колбу  со  шлифом  вместимостью  100

 

мл, 

прибавляют  10

 

мл  спирта  96

 

%  и  кипятят  с  обратным  холодильником  на 

a

б

 

в

 

б

 

Предыдущая <  | 6517  | > Следующая  | Главная  | pharma-14@mail.ru |  pharmacopeia.ru | Скачать в PDF