background image

 

 

 

 

 

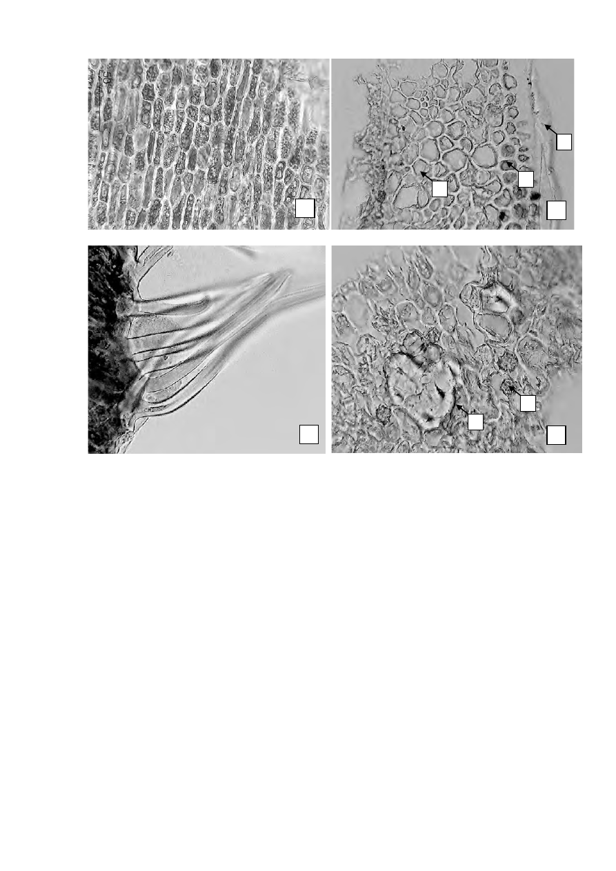
Рисунок

 – 

Тополя почки

1 – 

фрагмент эпидермиса чешуи (

400×); 2 – 

фрагмент поперечного среза 

покровной чешуи: кутикула (

a), 

гиподерма с пигментом

 (

б

), 

паренхима

 (

в

(400×); 3 – 

простые одноклеточные волоски (

400×); 4 – 

фрагмент 

поперечного среза покровной чешуи

склереиды 

(a), 

друзы оксалата кальция

 

(

б

) (400×). 

 

Определение основных групп биологически активных веществ

 

Тонкослойная хроматография 

На  линию  старта  аналитической  хроматографической  пластинки  со 

слоем  силикагеля  с  флуоресцентным  индикатором  наносят

 

по

 

2  мкл 

испытуемого

 

раствора  (см.  раздел  «Количественное  определение.  Сумма 

фенольных соединений

» 

приготовление раствора А испытуемого раствора) и 

растворастандартного 

образца 

(СО

)

пиностробина

 

(см. 

раздел 

«Количественное 

определение». 

Сумма 

фенольных 

соединений» 

приготовление  раствора  А  СО  пиностробина)

Пластинку  с  нанесенными 

а

 

б

 

в

 

а

 

б

 

Предыдущая <  | 6496  | > Следующая  | Главная  | pharma-14@mail.ru |  pharmacopeia.ru | Скачать в PDF