background image

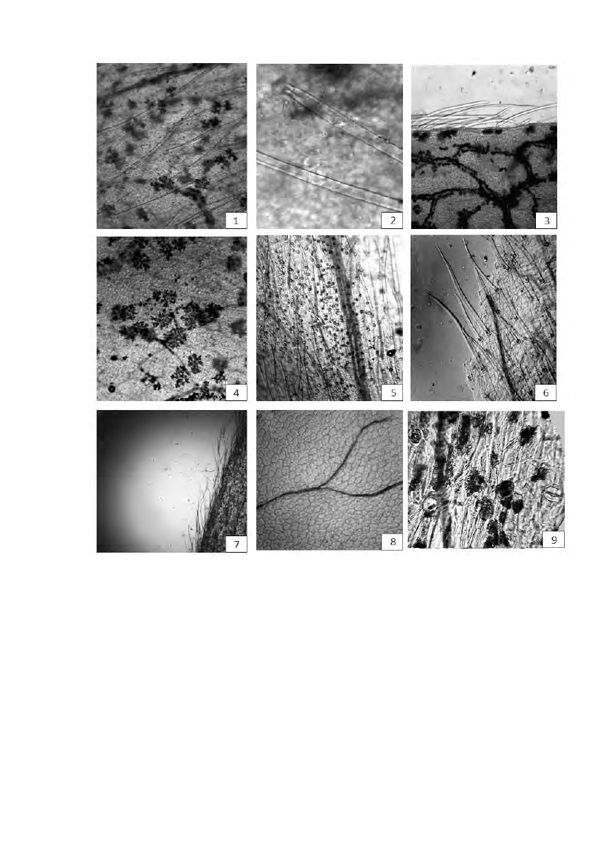
Рисунок 

– 

Термопсиса ланцентного трава

 

1 – 

волоски листа с крупнобугристой и гладкой поверхностью и сферокри-

сталлы (400×); 2 

– 

фрагмент волоска листа с крупнобугристой поверхностью 

(1000×);

 

3 –

 

волоски по краю листа (400×); 4 

– 

сферокристаллы фенологлико-

зида термопсиланцина в эпидермисе листа (400×)

; 5 – 

волоски чашечки, 

пыльцевые зерна трехбороздные (400×); 6 

– 

волоски чашечки (400×); 7 

– 

во-

лоски по краю чашечки (100×); 8 

– 

извилистостенный эпидермис венчика 

(1000×); 9 – 

эпидермис стебля, прозенхимные клетки, устьица, сферокри-

сталлы (1000×).

 

Предыдущая <  | 6465  | > Следующая  | Главная  | pharma-14@mail.ru |  pharmacopeia.ru | Скачать в PDF