background image

 

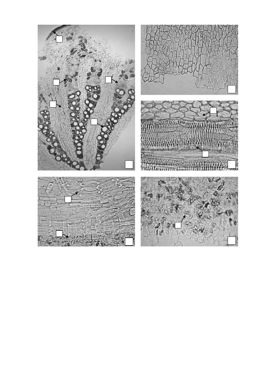
Рисунок

 – 

Солодки корни

1 – 

фрагмент поперечного среза неочищенного корня: а

 – 

пробка, 

 

б

 – 

лубяные волокна, в

 – 

облитерированный луб, г

 – 

сосуды ксилемы, 

 

д

 – 

паренхима сердцевинных лучей (

40×); 2 – 

фрагмент многослойной 

пробки (

200×); 3 – 

фрагмент продольного среза: а

 – 

клетки паренхимы, 

 

б

 – 

сетчатые сосуды с окаймленными щелевидными порами (

400×);  

4 – 

фрагмент корня: 

a – 

ситовидные трубки луба, б

 – 

волокна с 

кристаллоносной обкладкой (

200×);5 – 

фрагмент корня: а

 – 

паренхимные 

клетки коры с призматическими кристаллами оксалата кальция (

200×). 

 

 

 

б

 

в

 

б

 

а

 

г

 

д

 

б

 

Предыдущая <  | 6432  | > Следующая  | Главная  | pharma-14@mail.ru |  pharmacopeia.ru | Скачать в PDF