background image

изредка  встречаются  пузыревидные  волоски;  фрагменты  мезокарпия, 
состоящего  из  перекрестно

-

расположенных  волнистых  волокон  с 

кристаллоносной обкладкой; фрагменты семенной кожуры с эпидермисом из 
столбчатых  клеток  и  клеток  с  выростами  в  виде  присосок;  группы  мелких 
клеток  эндосперма  с  маслянисто

-

зернистым  содержимым;  фрагменты 

черешков  и  стеблей

– 

сосуды

спиральные  и  сетчатые  с  простыми  или 

окаймленными  порами,  склеренхимные  волокна  с  кристаллоносной 
обкладкой,  клетки  паренхимы  почти  прямоугольной  формы  с  друзами 
оксалата кальция.

 

 

 

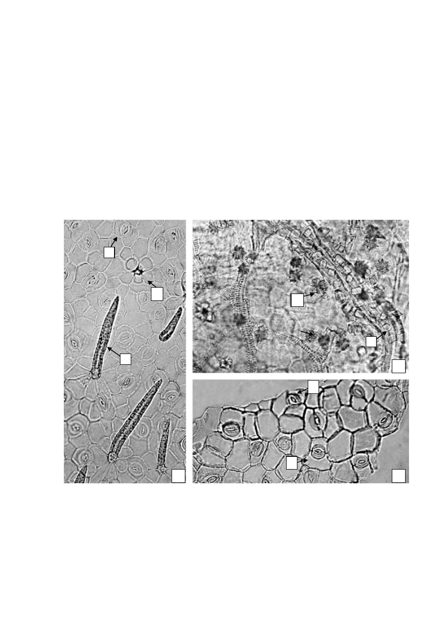
Рисунок

Сенны листья

1 –

фрагмент эпидермиса листа: а

 – 

простой бородавчатый волосок, 

 

б

 – 

устьица, с 

– 

округлый валик с розеткой клеток эпидермиса в месте 

прикрепления волоска (

200×); 2 – 

фрагмент мезофилла листа: а

 – 

друза 

оксалата кальция, б

 – 

крупная жилка с кристаллоносной обкладкой (

200×); 

3 – 

фрагмент эпидермиса листа: а

 – 

устьицапарацитного типа, б

 –

б

 

 

б

 

б

 

в

 

Предыдущая <  | 6413  | > Следующая  | Главная  | pharma-14@mail.ru |  pharmacopeia.ru | Скачать в PDF