background image

двух  типов:  головчатые  на  короткой  одноклеточной  ножке  с  одно

-, 

двухклеточной  шаровидной  головкой  и  простые  одно

и  многоклеточные  с 

бородавчатой поверхностью. Эфирномасличные железки, по форме округлые 
или округло

-

четырехугольные, состоят из 4 реже 6 выделительных клеток

.  

 

 

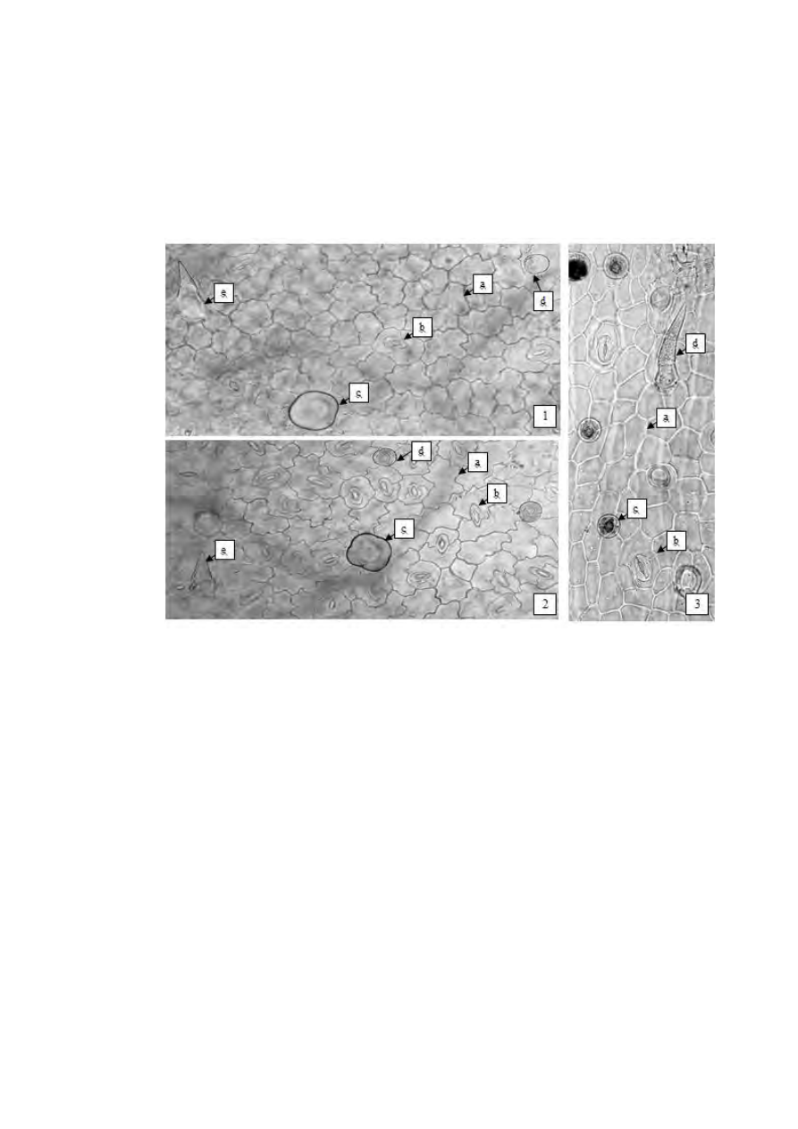
Рисунок

 – 

Ортосифона тычиночного (почечного чая) листья.

 

1 – 

фрагмент верхней стороны листа: 

a – 

клетки эпидермиса со 

слабоизвилистыми стенками, 

b – 

устьица

 

диацитного типа, 

c – 

эфирномасличная железка, 

d – 

головчатый волосок, 

e – 

простой 

многоклеточный

 

волосок с бородавчатой поверхностью

 (2-

х клеточный 

волосок)

 (200×), 2 – 

фрагмент нижней стороны листа: 

a – 

клетки эпидермиса 

с сильноизвилистыми стенками, 

b – 

устьица

 

диацитного типа,

 c – 

эфирномасличная железка, 

d – 

головчатый волосок, 

 

e – 

простой многоклеточный

 

волосок с бородавчатой поверхностью

 (2-

х 

клеточный волосок)

 (200×), 3 – 

фрагмент стебля: 

a – 

клетки эпидермиса с 

прямыми стенками, 

b –

устьица

, c – 

головчатый волосок, 

d – 

простой 

многоклеточный волосок с бородавчатой поверхностью

 (200×). 

 

Определение основных групп биологически активных веществ

 

Тонкослойная хроматография 

Приготовление  раствора  стандартного  образца  (СО)  флуоресцеина.

 

Около 0,005

 

г

 

СО 

 

флуоресцеина растворяют в 10

 

мл спирта 96

 

%. Срок год-

Предыдущая <  | 6307  | > Следующая  | Главная  | pharma-14@mail.ru |  pharmacopeia.ru | Скачать в PDF