background image

 

 

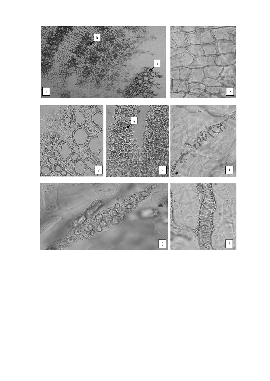
Рисунок 

Одуванчика лекарственного корни

 

1 – 

фрагмент поперечного среза корня: 

a – 

сосуды древесины, 

b – 

млечники

  

(40×), 2 – 

фрагмент пробки 

вид с поверхности

 (200×), 3 – 

сосуды древесины

 

поперечный срез

  (200×), 4 – 

млечники 

поперечный срез, «а»

,  (200×), 5 – 

млечники 

– «

давленый

» 

микропрепарат 

(200×), 6 – 

глыбки инулина 

– «

давле-

ный микропрепарат

»  (200×), 7 – 

лестничный сосуд 

–  «

давленый

» 

микропре-

парат

 (200×). 

 

 

 

Предыдущая <  | 6295  | > Следующая  | Главная  | pharma-14@mail.ru |  pharmacopeia.ru | Скачать в PDF