background image

 

 

 

 

 

 

 

 

 

 

 

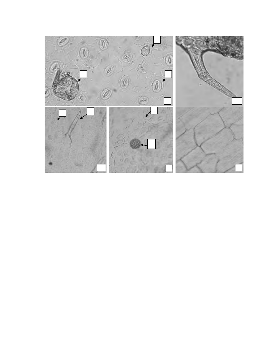
Рисунок

 – 

Мяты перечной

 

листья

.  

1 – 

фрагмент эпидермиса листа:

 a – 

клетки эпидермиса с извилистыми 

стенками и устьицами

 

диацитного типа, б

 – 

головчатый волосок, в

 – 

эфирномасличная железка 

(200×), 2 – 

простой бородавчатый волосок, 

(200×), 

3 – 

фрагмент венчика: а 

– 

эпидермис с извилистыми стенками, б

 – 

простой 

бородавчатый волосок 

(200×), 4 – 

фрагмент венчика: а 

– 

эпидермис с 

сосочковидными выростами

б

 – 

пыльца

 (200×), 5 – 

фрагмент эпидермиса 

стебля 

(400×). 

1

 

 

 

б

 

в

 

б

 

б

 

 

 

Определение основных групп биологически активных веществ

 

Тонкослойная хроматография  

Приготовление растворов. 

Раствор стандартного образца (СО) тимола.

 

Около 0,01

 

г СО тимола 

растворяют в 10

 

мл спирта 96

 

% и перемешивают. Срок годности раствора не 

более 

меспри хранениив прохладном, защищенном от света месте. 

 

Раствор  СО  ментола

.  Около  0,01

 

г  СО  ментола  (левоментола) 

растворяют в 10

 

мл спирта 96

 

% и перемешивают. Срок годности раствора не 

более 

меспри хранении в прохладном, защищенном от света месте.

 

 

Предыдущая <  | 6287  | > Следующая  | Главная  | pharma-14@mail.ru |  pharmacopeia.ru | Скачать в PDF