background image

 

 

 

 

 

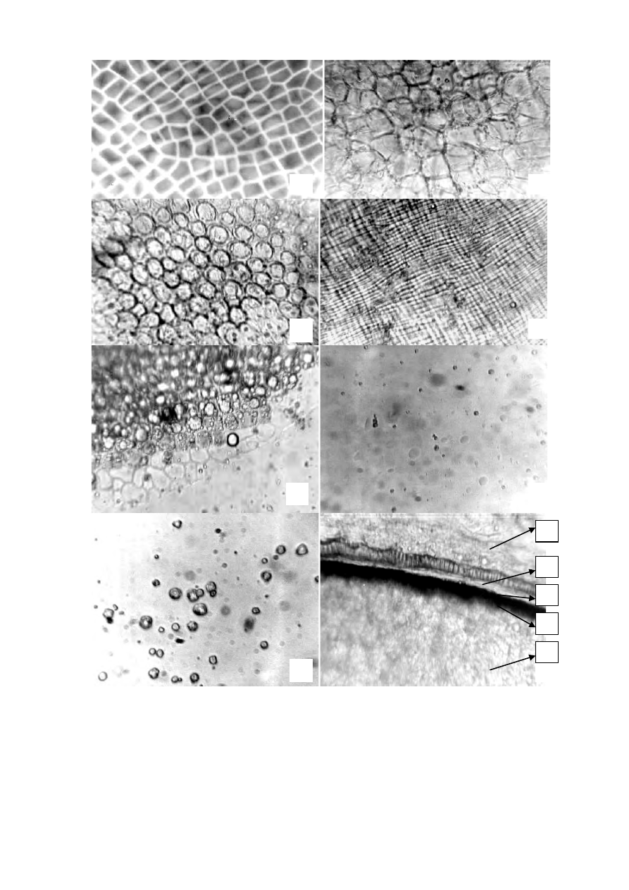
Рисунок 

 

Льна посевного семена

1 –

эпидермис (

250×); 2 

 

паренхима (

250×); 3 – 

механическая ткань (

250×); 

поперечный слой (

250×); 5 – 

эндосперм (

250×); 6

капли

 

жирного масла и 

алейроновые зерна (

250×); 7 

 

алейроновые зерна с кристаллоидами и 

глобоидами (

500×); 8 

 

поперечный срез семени льна (

250×): a

паренхимный 

слой кожуры, б 

 

механический слой, в 

 

клетки поперечного слоя, г

 

а

 

б

 

в

 

г

 

д

 

Предыдущая <  | 6239  | > Следующая  | Главная  | pharma-14@mail.ru |  pharmacopeia.ru | Скачать в PDF